À Montpellier et Nîmes, dans le programme du PASS (Parcours d’Accès Spécifique Santé), l’UE3 est enseignée au premier semestre et comporte trois parties : la Biologie Cellulaire, l’Histologie, la Biologie de la Reproduction (BDR) et Embryologie.
L’UE3 représente 8 ECTS (sur 30 ECTS au total du premier semestre). Avec 34h de cours magistraux et 22h d’enseignements dirigés (Etudes Dirigées). Soit un total de 56h d’enseignement.
La Biologie Cellulaire
Concernant la biologie cellulaire dans le cas du programme de PASS, il y a 18h de Cours Magistraux et 10h d’Etudes Dirigées. Les Cours Magistraux commencent par une approche évolutive qui permet de comprendre ce qu’est une cellule : comment est apparue la première cellule eucaryote (= avec un noyau) ? Cela mène ensuite à l’organisation des êtres pluricellulaires parmi lesquels, l’être humain.
Le programme de biologie cellulaire
Le programme se poursuit par la description en détails des différents constituants des cellules eucaryotes (structure et fonctions) : membrane plasmique, noyau, cytosquelette, cytosol et l’ensemble des organites membranaires (réticulum endoplasmique, appareil de Golgi, endosomes, lysosomes, mitochondries et peroxysomes). D’autres chapitres sont consacrés à l’étude, à l’échelle moléculaire, de fonctions cellulaires majeures telles que le cycle cellulaire et la division cellulaire, l’apoptose, les adhérences et jonctions cellulaires, la communication cellulaire et la signalisation.
L’examen de biologie cellulaire à Nîmes et Montpellier
A l’examen de PASS à Montpellier et Nîmes, en janvier, une partie des QCM de Biologie Cellulaire porte sur des notions de cours et une autre partie correspond à l’analyse d’expériences scientifiques mettant en jeu différentes techniques vues en Études Dirigées. Il faut alors interpréter les résultats présentés et amener la bonne conclusion. Une préparation spécifique pour s’entrainer à résoudre ces exercices dans les temps est fondamentale pour envisager cet examen sereinement.

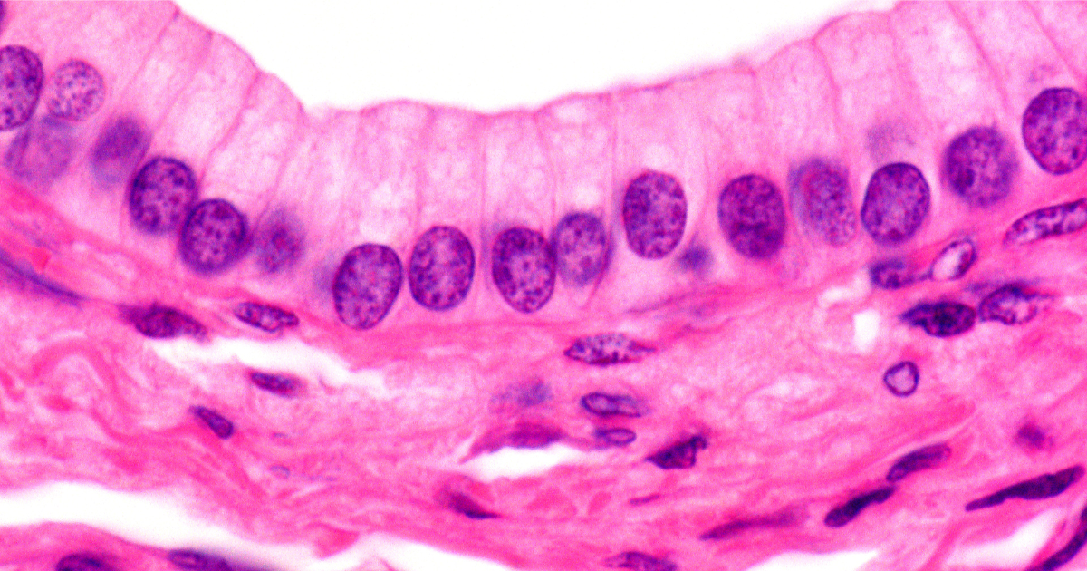
L’Histologie
L’Histologie est la science qui étudie les différents tissus de l’organisme. En Histologie, il y a 9h de Cours Magistraux et 8h d’Etudes Dirigées. Il s’agit, dans le programme de PASS à Nîmes et Montpellier, d’une étude descriptive et détaillée des tissus humains.
Le programme d’histologie à Montpellier et Nîmes
Chaque tissu est dépeint par une description générale, ses caractéristiques à l’échelle moléculaire, ses fonctions associées et de nombreuses classifications mettant en évidence les très nombreux sous-types tissulaires.
Le programme débute par la description des épithéliums de revêtement. C’est-à-dire les tissus qui recouvrent le corps et ceux qui bordent les cavités de notre organisme.
Il poursuit ensuite avec les épithéliums glandulaires.
Vient ensuite l’étude des tissus conjonctifs. Le tissu conjonctif désigne un tissu dans lequel les cellules sont disjointes, séparées par une matrice extracellulaire spécifique. Il a en général un rôle de soutien. La famille des tissus conjonctifs est grande. Elle comporte le tissu conjonctif classique et les tissus conjonctifs spécialisés : les tissus cartilagineux, osseux et sanguin. Le programme d’histologie se poursuit par la description des tissus musculaires, constituants le muscle trié squelettique, le muscle cardiaque et les muscles lisses, puis par la description du tissu nerveux.
L’examen d’Histologie à Montpellier et Nîmes
L’examen est là aussi sous forme de QCM qui portent spécifiquement sur le cours. La connaissance parfaite de ce cours permet d’être performant sur cette partie de l’UE.

La Biologie de la Reproduction (BDR) et l’Embryologie
La BDR et l’embryologie comptent 7h de Cours Magistraux et 4h d’Etudes Dirigées.
Le programme de BDR et d’Embryologie à Montpellier et Nîmes
En fin de semestre, cette partie de l’UE aborde le développement et la maturation des gamètes mâles et femelles, la fécondation et les quatre premières semaines du développement de l’embryon : la segmentation (1ère semaine), la pré-gastrulation (2ème semaine), la gastrulation (3ème semaine) et la délimitation (4ème semaine). Il est important de maîtriser ce programme pour préparer l’Ue9 au deuxième semestre.
L’examen de BRD et d’Embryologie à Nîmes et Montpellier
Les QCM de BDR et d’Embryologie portent sur des notions de cours, et sont du même type que ceux proposés lors des Etudes Dirigées.
L’examen d’UE3 à Montpellier et à Nîmes
L’épreuve d’UE3 à Nîmes et Montpellier dure 1h et comporte 25 QCM. A l’examen, la partie portant sur l’Histologie, la BDR et l’Embryologie comporte 10 QCM en moyenne, et correspond à des questions de cours. La Biologie Cellulaire comporte 15 QCM en moyenne, dont plus de la moitié (9 en 2022) portent sur des exercices qui nécessitent une bonne compréhension du cours.
Réussir son examen d’UE3 en PASS à Nîmes et Montpellier
Pour résumer, en UE3 à Nîmes et Montpellier, il faut parfaitement maitriser son cours en s’aidant de nombreux schémas descriptifs et s’attacher aux détails du cours. De plus, il ne faut pas oublier de s’entraîner à l’analyse expérimentale à partir de nombreuses analyses de documents.

Méthodologie pour préparer son UE3 en PASS à Nîmes et Montpellier
L’UE3 est parfois catégorisée de « par cœur ». Laissant penser aux étudiants que son apprentissage peut se faire sans aucune compréhension. Certes, il y a beaucoup de détails à maitriser, mais la méthode doit aussi intégrer une compréhension globale. Avec des liens entre les cours et avec d’autres matières.
Ainsi, en biologie cellulaire, des liens clés sont à faire avec la chimie. En particulier avec les notions relatives aux liaisons faibles, car celles-ci conditionnent les propriétés fondamentales d’hydrophobie et d’hydrophilie.
En histologie, l’apprentissage doit être relié à la physiologie pour comprendre la relation entre la structure des tissus et leur(s) fonction(s).
En termes d’apprentissage, il est conseillé dans un premier temps de relire son cours plusieurs fois en apprenant le plan et les définitions. Et aller de plus en plus dans les détails au fur et à mesure des relectures. L’entrainement sur des QCM type concours permet de voir si le cours est maitrisé et d’aller approfondir les points moins bien maitrisés.
La différence entre la biologie au lycée et en PASS
L’approche en PASS est radicalement différente de celle au lycée.
Sur le fond, l’enseignement de spécialités en Terminale est assez éloigné de l’enseignement en PASS. Sur les 3 grandes thématiques au programme, seule la partie « Corps humain et Santé » est reliée à l’UE3 en PASS. Le cours sur la cellule musculaire est le cours le plus en lien avec le cours d’histologie.
Sur la forme, les notions sont abordées de façon tellement générale que la méthode d’apprentissage ne requiert pas la même intensité ni la même méthodologie. Le volume des notions est sans commune mesure. Un étudiant qui n’a pas pris SVT en enseignement de spécialités pourra travailler spécifiquement les notions de PASS en UE3 pour se mettre rapidement à jour sur ce qui n’a pas été vu au lycée.
